Patología de Precisiónen Lima Norte
Diagnóstico especializado en Biopsias, Citología e Inmunohistoquímica con tecnología de punta en Puente Piedra, Lima Norte. Resultados rápidos en 3-4 días.
Agendar Examen Ahora4.9/5 basado en 5,000+ diagnósticos en Puente Piedra




Precisión Certificada
ISO 9001:2015
Citología y Papanicolaou
Diagnóstico precoz de lesiones cervicales y estudios citológicos especializados con citotécnicos de alto nivel.
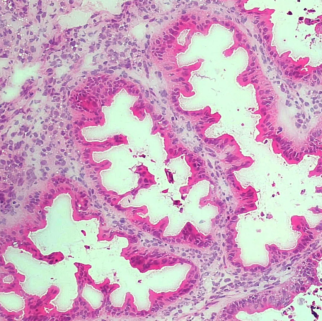
Biopsias y Estudios Histopatológicos
Análisis detallado de tejidos para diagnósticos oncológicos y patología general con reporte en 72 horas.
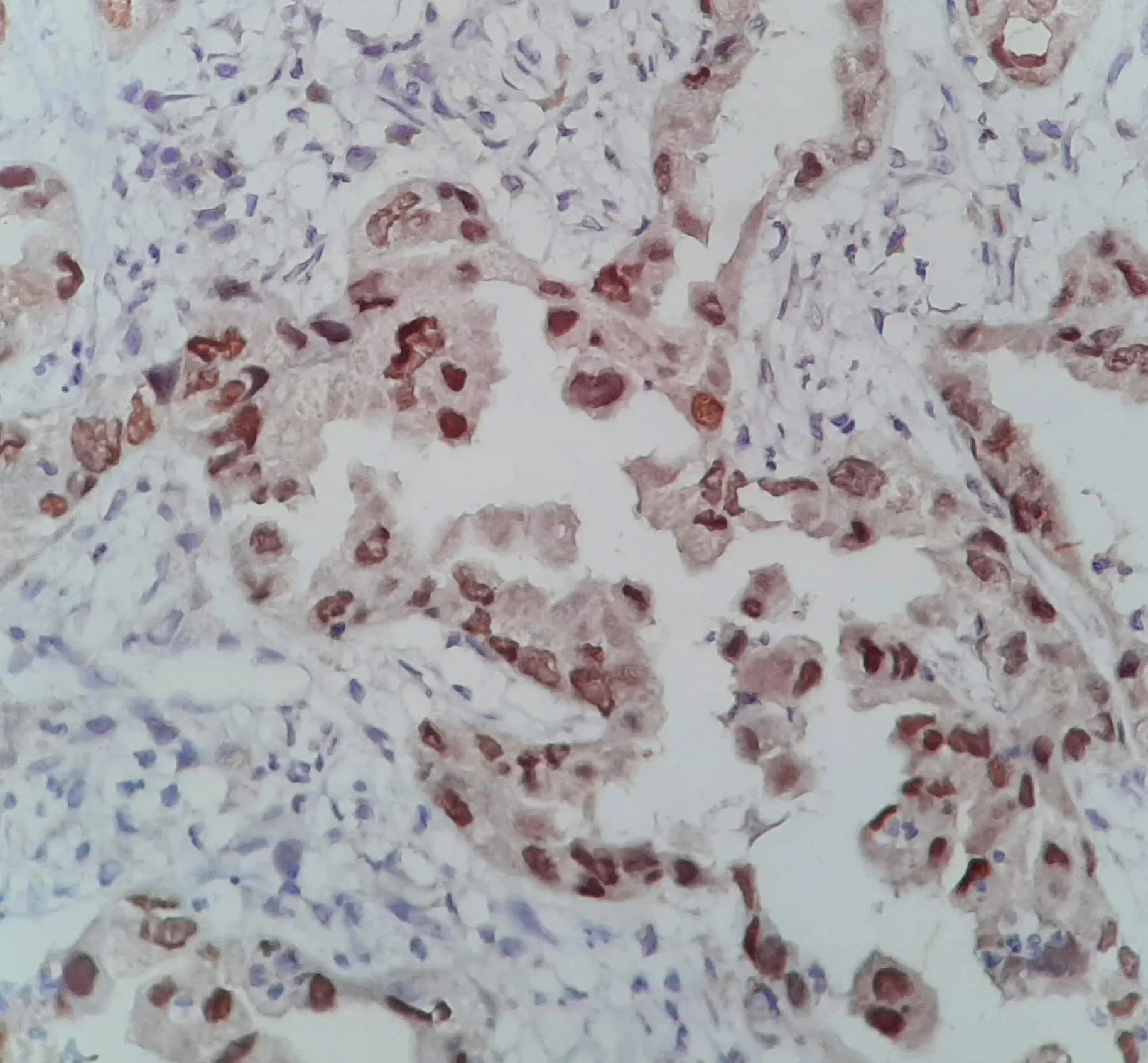
Inmunohistoquímica Especializada
Determinación de marcadores moleculares para caracterización tumoral avanzada y medicina de precisión.
Servicios de Alta Complejidad
Biopsias Especializadas
Diagnóstico histopatológico de alta precisión (Gástricas, Próstata, Cervix, Piel). Resultados rápidos y precisos.
Citología y Papanicolaou
Despistaje preventivo con tecnología avanzada. Papanicolaou, Citología de aspiración y líquidos corporales.
Comprometidos con la excelencia diagnóstica.
En JC PATH LAB, entendemos que cada muestra representa una vida. Nuestra ingeniería diagnóstica sigue los más rigurosos estándares globales para garantizar la máxima exactitud.
Trayectoria Comprobada
+15 años de experiencia liderando diagnósticos oncológicos de alta complejidad.
Volumen Diagnóstico
+50,000 estudios realizados con 100% de confianza médica en todo el Perú.
Rapidez y Eficiencia
Resultados en 3-4 días hábiles, guía fundamental para el inicio de tratamiento.
